HIRANO 津山第一病院

トップページ

診療科のご案内

外来時のご案内

診療時間表

入院時のご案内

人間ドックのご案内

病院案内

法人案内

お問い合わせ

医療機関向け CT / MRI 検査予約

医療機器共同利用(骨密度測定検査)のご案内



回復期リハビリテーション病棟のご案内

看護部ページ

職員募集



ERセンター

カルテ開示について



病院へのアクセス



CAFE BONHEUR



契約入札情報

医療法人 平野同仁会 救急・労災指定病院 岡山県 胃・大腸がん・乳がん精密検診施設

精巣がん

1. 概要
 精巣がんは、他の泌尿器がんと比較して、より若い患者さんに発生することが多い疾患です。診断時に既に転移を有している患者さんも少なくありませんが、多くの場合、抗がん剤治療に良く反応し、比較的高い確率で治癒が望めます。一方、患者さんの中には、癌の組織型、転移の部位と進行度から厳しい予後が予測され、実際に思うような治療効果が得られない難治例もあります。
 発生率は10万人あたり約1人で、男性の全腫瘍の1%程度ですが、15~35歳の男性においては最も多い悪性腫瘍です。組織型によってセミノーマ、非セミノーマに分類されます。
2. 原因
 原因は不明ですが、停留精巣の患者さんでは一般男性に比べ3~14倍のリスクを有します。片側に精巣がんを発症した方が、反対側にも精巣がんを発生する頻度は同じく20倍以上とされています。
 その他に外傷や炎症も癌発生の一因とされています。
3. 症状
 無痛性陰嚢腫大が初発症状です。30~40%で下腹部の重圧感や鈍痛があり、10%で急性の精巣痛があります。
 癌が進行し広範囲に転移が出現すると、その臓器により腹痛や呼吸困難、頚部リンパ節の腫大、体重減少などもおこります。
4. 検査・診断
① 触診
陰嚢内容物の中でも精巣そのものが腫れていることを確認します。
② 超音波検査
精巣の形状、内部構造、血流などが確認でき、有用な検査です。
③ 血液検査
一部の精巣がんでは、LDH(乳酸脱水素酵素)、 AFP(アルファ胎児性蛋白)、hCG(ヒト縦毛性ゴナドトロピン)などの腫瘍マーカーが高くなることがあり、診断や治療の助けとなります。
④ CT検査
多臓器やリンパ節などへの転移巣の有無を検索します。
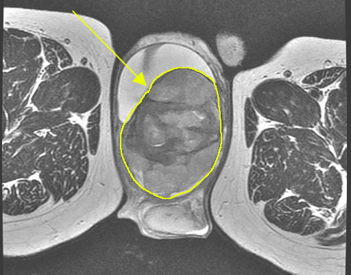
⑤ MRI検査
精巣の形態、内部構造などの情報が得られます。
清掃がんMRI
※精巣がんのMRI画像
5. 治療
① 高位精巣摘除術
精巣がんと診断ができたら、すぐに高位精巣摘除術を行います。高位精巣摘除術とは、陰嚢ではなく鼠径部を切開し、精巣に向かう血管をまず結紮(固定)し、手術操作によってがん細胞が散らばらないようにしてから、精巣、精巣上体、精索を一塊として摘出します。精巣摘除術後の治療は、病期や組織型によって異なります。
高位精巣摘除術
 「出典:国立研究開発法人国立がん研究センター」

② その他の治療
組織診断でセミノーマか非セミノーマによっても異なりますが、放射線治療や化学療法(抗がん剤治療)などがあります。

泌尿器科トップページへ


救急・労災指定病院 岡山県 胃・大腸がん・乳がん精密検診施設

内科・循環器内科・心臓血管外科・整形外科・リハビリテーション科・形成外科・放射線科・麻酔科・乳腺外科
大腸・肛門外科・消化器内科・消化器外科・内視鏡外科・耳鼻咽喉科・皮膚科・泌尿器科・脳神経外科・外科


医療法人 平野同仁会 総合病院津山第一病院
〒708-0871 岡山県津山市中島438番地TEL(0868)28-2211 FAX(0868)28-2280
E-mail:info@tsuyama-1sthp.jp http://tsuyama-1sthp.jp
     PRIVACY POLICY
Copyright 2005 TSUYAMA DAIICHI HOSPITAL.All rights reserved. No reproduction or republication without written permission.